近日,山东第一医科大学第三附属医院神经外科团队成功完成医院首例立体定向引导下Ommaya囊置入术。这是医院首次将这一国际先进技术应用于脑膜继发恶性肿瘤的治疗,不仅填补了医院在该项技术方面的空白,更为肿瘤脑转移及脑膜转移患者开辟了全新的治疗路径,标志着医院在精准治疗领域迈出了重要一步。
重症难题:高龄合并多症,治疗陷入多重困境
此次接受治疗的是一位80岁的男性患者,他患肺癌后一直在医院呼吸与危重症医学科接受治疗,在副院长龙飞团队的精心诊疗下,肺癌病情得到有效控制。然而,新发脑膜转移的诊断突然袭来,将老人推向了生死边缘。更为棘手的是,患者年龄较高,有慢阻肺病史和极度混合性肺功能障碍,每晚需佩戴六小时无创呼吸机才能维持稳定血氧,无法耐受长时间全麻和创伤较大的手术,且必须在限期内获得有效治疗。多重难题叠加,让治疗方案的制定陷入困境,也对医疗团队的技术水平和应急处置能力提出了极高要求。

MDT会诊+创新构想:破解难题的双重助力
面对这一复杂病例,副院长龙飞迅速组织呼吸与危重症医学科主任李爱华、麻醉科主任陈秀梅、心内科主任姚辉臣、神经外科主任李涛、刘伟等多名院内专家进行MDT会诊。龙飞提出的Ommaya囊植入术微创手术方案,经专家们充分评估和论证后达成共识。Ommaya囊具备创伤小、并发症少、患者耐受度高的显著优势。可实现药物直接靶向递送,避开血脑屏障提升药效,同时能反复抽取脑脊液送检,为后续诊疗提供精准依据。但新的挑战接踵而至:常规脑室穿刺多用于脑积水等导致的大脑室情况,穿刺精准度要求不高,而患者的脑室大小正常且偏窄,精准穿刺成为手术成功的关键。副校(院)长、第三附属医院院长辛涛针对该病例,提出了“立体定向穿刺结合Ommaya囊植入术”的全新设想——立体定向技术在肿瘤、血肿穿刺中已实现毫米级精准度,应用于脑室穿刺具备可行性。这一方案既满足了精准穿刺的需求,又契合微创理念,可在局麻下完成,大幅缩短手术时间、减轻患者痛苦,完美破解了患者的耐受难题。

精准施治:一小时局麻手术圆满告捷
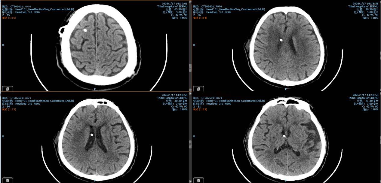
经过科内反复讨论及推演优化手术预案,与手术室、麻醉科、CT室医护人员熟练配合,1月17日手术正式实施,医疗团队按计划有条不紊地进行一系列准备工作。随后,消毒、切皮、定位操作精准推进,半小时后,副主任医师刘伟作为主刀医师,手持穿刺针一次穿刺到位,透明的脑脊液缓缓流出,标志着穿刺成功,后续顺利连接固定Ommaya囊。整个手术仅用时1小时,且为局麻操作,术后复查CT显示置管位置精准,与术前设计的靶点分毫不差。经过两天的术后恢复,患者已顺利转回呼吸与危重症医学科继续后续治疗,Ommaya囊也正式启用,为延长老人生存时间筑牢了“生命线”。
医患同心:技术彰显实力,温情传递敬意
这例手术的圆满成功,是神经外科团队技术创新实力与医院多学科协作效能的实力彰显。手术打通了患者长效稳定的给药通道,有效破解了脑膜转移治疗中药物难以直达病灶的难题,极大地改善了生存质量、延长了生存周期。术后,这位有着60年党龄的老党员,第一句话便是真诚地对医护人员说:“给你们添麻烦了,辛苦了。”患者朴实的话语里充满了感激,深深触动了在场每一位医护人员。

深耕创新:筑牢诊疗根基,守护群众健康
目前,医院神经外科不仅能熟练开展Ommaya囊植入术,还可完成脑肿瘤活检穿刺(即便1cm左右的脑内肿物也能实现精准穿刺)、脑瘤显微镜下切除等多项与肿瘤相关的核心手术,同时也积极开展烟雾病脑血管搭桥、颈动脉狭窄内膜剥脱、动脉瘤夹闭等脑血管病手术。此次新技术的落地,是在学科带头人辛涛院长带领下,坚持技术兴院、创新强院理念的重要成果体现,同时也进一步丰富了神经外科的诊疗手段,提升了医院在神经系统和肿瘤疾病治疗领域的影响力,为更多疑难重症患者带来了治疗希望。下一步,第三附属医院将继续深耕技术创新,持续强化多学科协作机制,以更优质的医疗服务守护群众生命健康,不辜负每一位患者的信任与托付。